Dental Implants
Dental Implants
Dental Implants Cost in Turkey 2026: What Patients Really Pay and Why
Esthetic Dentistry
Composite Bonding in Turkey (Istanbul): Cost, Results, and When It Makes Sense
General Dentistry
Tooth Enamel Health: When Enamel Wears Away and What Can Be Done
Esthetic Dentistry
Teeth Whitening Strips: Safety, Side Effects & Better Options
Orthodontics
Buck Teeth: What They Are, How To Fix Them, and The Best Cosmetic Options For You
General Dentistry
Can a Dead Tooth Be Saved?
General Dentistry
Dental treatment in Turkey
Orthodontics
Crowded Teeth: Causes, Severity Levels, and the Best Treatment Options for Adults
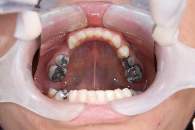
Esthetic Dentistry
Removing Amalgam Fillings: Your Modern Smile Upgrade
Contact details
Health Information
Please fill the form
to start your consultation
Our experts will provide you with detailed information about our treatments
Step 1/2
Step 2/2
optional
Health information
Do you suffer from any of the following diseases?
Select all that apply
Join 50,000+ of
Satisfied International Guests
who found their perfect smile in Istanbul’s most trusted dental spa















Thank You for Your Submission
One of our experts will contact you soon, and provide you with detailed information about our treatments
Book a Free Consultation
Fill-in the form bellow, and our experts will provide you with detailed information about our treatments
Thank You for Your Submission
One of our experts will contact you soon, and provide you with detailed information about our treatments
Redirecting you to WhatsApp
Our experts will provide you with detailed information aboutour treatments
Please check the highlighted fields below. Some required information is missing or incorrect
Please enter your phone number below
Tr
+90
Thank You for Your Submission
Redirecting to WhatsApp now