Dental Crowns in Turkey: A Reliable Way to Revitalize Your Smile
Damaged, weakened, or aesthetically compromised teeth can diminish your confidence and overall dental health. Modern dentistry offers an effective solution in the form of dental crowns, which safeguard and reinforce compromised teeth while restoring their natural look. As these custom-designed caps continue to gain popularity, Dental Crowns in Turkey stand out for their blend of high-quality care and cost-effectiveness. This approach allows you to repair discolored, cracked, or misshapen teeth without sacrificing your budget—an attractive prospect for those seeking advanced dental solutions abroad.
Turkey’s reputation for medical and dental tourism has risen dramatically, thanks to experienced dental practitioners, updated clinics, and appealing treatment fees. Patients from across the globe are discovering how advanced technology, skilled specialists, and coordinated logistical support transform a routine procedure into a smooth, stress-free experience. Whether you’re struggling with decayed teeth, old fillings, or a cosmetic concern, crowns provide the protection and renewed appearance necessary for a bright, confident smile.
What Are Dental Crowns?
A dental crown is essentially a tailored cap that fits over the visible portion of a tooth to restore its shape, size, and strength. Rather than extracting a problematic tooth entirely, a crown preserves its root structure and outer placement in the jaw, thereby maintaining your bite alignment and overall oral function. Typically made from durable materials—like porcelain, zirconia, or E.max—they can be color-matched to the rest of your teeth, ensuring a seamless, natural-looking result.
Key Purposes of Dental Crowns
- Protection: Crowns safeguard weakened teeth that have suffered decay or structural damage, preventing further deterioration.
- Restoration: They replace lost enamel and restore the tooth’s original contours, allowing for proper chewing and alignment.
- Cosmetic Enhancement: Crowns can hide severe discoloration, chips, or irregular shapes that mar an otherwise healthy set of teeth.
- Post-Root Canal: After endodontic therapy, a crown shields the tooth from cracks or fractures, extending its longevity.
The procedure generally involves two stages. First, the dentist preps the tooth by removing damaged areas and shaping the enamel to accommodate a crown. Next, an impression or digital scan is made, and a temporary crown is fitted. Once your permanent crown is fabricated—often within a few days if the clinic uses in-house labs—it’s bonded in place. The outcome is a sturdy, aesthetically pleasing tooth that blends in with your natural smile.
Who Benefits From Dental Crowns?
Because crowns effectively address both functional and cosmetic issues, a wide range of people can benefit:
- Individuals With Severe Decay: Fillings aren’t enough if much of the tooth structure is compromised. A crown stabilizes the remaining tooth and wards off extraction.
- Cracked or Broken Teeth: Trauma or biting something hard can cause fractures that weaken a tooth. Crowns hold the tooth together, preventing further splits.
- Teeth Undergoing Root Canal Therapy: After a root canal, the tooth can become more brittle. A crown restores durability so you can continue chewing normally.
- Cosmetic Concerns: Some patients opt for crowns to fix stubborn discoloration, misshapen teeth, or uneven edges that cannot be corrected with whitening or bonding.
- Worn-Down Dentition: Over time, teeth can erode from grinding (bruxism) or acid exposure. Crowns restore height and function, alleviating jaw strain and potential discomfort.
Ultimately, your dentist determines if a crown is the right answer by analyzing factors like tooth structure, gum health, and your overall oral hygiene habits. If you have multiple issues—such as cracks, cavities, or old fillings—crowns can be placed on individual teeth or integrated into a larger restorative plan, sometimes working in tandem with implants or bridges.
Why Choose DentSpa for Dental Crowns in Turkey?
Although many clinics in Turkey provide restorative dentistry, DentSpa stands out because of its comprehensive, patient-focused care and modern resources.
- Advanced Technology and Materials
- DentSpa uses premium materials like porcelain, zirconia, and E.max that resist chipping and maintain natural translucency.
- Digital imaging (such as CAD/CAM systems) allows for meticulous mapping of the tooth, ensuring crowns fit snugly without impacting your bite.
- Internationally Skilled Team
- Each dentist brings a strong professional background, often with additional certifications or training abroad.
- This expertise extends beyond technical skills; staff members are adept at putting international patients at ease, helping to eliminate language barriers and streamline the treatment process.
- Advanced Dental Lab Collaboration
- DentSpa collaborates with Istanbul’s most advanced dental laboratory, equipped with cutting-edge technology to deliver exceptional results with optimal efficiency.
- Personalized Support
- DentSpa offers free online consultations to discuss your concerns and generate a tentative treatment plan.
- The clinic assists with airport pickups, hotel bookings, and appointment scheduling, letting you focus on your dental care while exploring Turkey’s cultural charms.
Moreover, the cost of dental crowns at DentSpa is usually 40–60% lower than in many Western countries. This savings is compounded by high levels of care and efficient planning, making Turkey—and DentSpa in particular—a go-to option for people seeking top-notch restorative dentistry without excessive expenses.
Reasons to Act Now
Postponing crown placement can lead to more complex dental issues in the future. A tooth that’s weakened or partially fractured is at risk for further cracking, which might eventually necessitate root canal therapy or extraction. Placing a crown early not only relieves discomfort but also guards the tooth from additional strain and possible loss.
From an aesthetic point of view, living with a chipped or discolored tooth can chip away at your self-esteem. If an upcoming event—like a wedding or major life milestone—motives you to refresh your smile, crowns deliver a prompt, reliable way to do so. Since each crown is tailored in shape and shade, your end result seamlessly complements the rest of your teeth.
Planning Your Trip and Procedure
One key advantage of undergoing Dental Crowns in Turkey is how efficiently the entire experience can be managed. Here’s an outline of what to expect:
- Initial Consultation
- You begin with an online or phone evaluation, sharing any dental X-rays or photos you have. The dentist proposes a plan, including the number of crowns and material options, along with an estimated fee.
- Travel Arrangements
- After you book your flight, DentSpa can handle hotel reservations and ground transportation. A recommended stay often spans three to seven days, depending on the complexity of your case.
- Tooth Preparation and Temporary Crown
- Once in Turkey, your dentist preps the tooth by removing decay or older fillings, shaping the outer structure for crown placement. A temporary crown is placed to protect the tooth while your permanent restoration is fabricated.
- Crown Fabrication and Fitting
- In a couple of days, your custom crown is ready. You return to the clinic to have the temporary removed, ensuring the final crown fits perfectly in terms of color, shape, and alignment.
- Follow-Up and Return Home
- Before departing, you’ll have a brief follow-up to confirm comfort and finalize any bite adjustments. From there, you can return home, often with ample time to enjoy local sightseeing if you wish.
- Before departing, you’ll have a brief follow-up to confirm comfort and finalize any bite adjustments. From there, you can return home, often with ample time to enjoy local sightseeing if you wish.
With advanced labs and streamlined scheduling, multiple crowns can be addressed in a single trip. This approach saves time, reduces possible complications, and makes dental tourism an enticing option for those balancing finances, scheduling, and personal obligations.
Conclusion: Redefine Your Smile with Dental Crowns in Turkey
Opting for Dental Crowns in Turkey can be a game-changer for those who seek lasting restorative results without excessive costs. By encasing a compromised tooth with a well-crafted, lifelike cap, you safeguard your oral health, boost self-confidence, and maintain the harmony of your bite. Turkey’s modern facilities, skilled dental teams, and commitment to patient comfort make it a standout destination in the realm of global dental tourism.
At DentSpa, each crown is tailored to your specific needs, reflecting an emphasis on accuracy, durability, and aesthetics. The clinic’s holistic support—from initial remote consultations to local travel assistance—ensures your journey is not only clinically successful but also pleasantly memorable. With the blend of cutting-edge techniques and approachable pricing, there’s never been a better time to consider crowns as a means of elevating both your oral health and overall sense of well-being.
If you’ve been struggling with damaged or unsightly teeth, or you’re simply looking to enhance your smile’s natural beauty, dental crowns offer a straightforward yet comprehensive solution. By choosing DentSpa in Turkey, you benefit from top-tier dentistry in a vibrant, welcoming environment—helping you step away with a renewed, radiant smile that can last for many years to come.
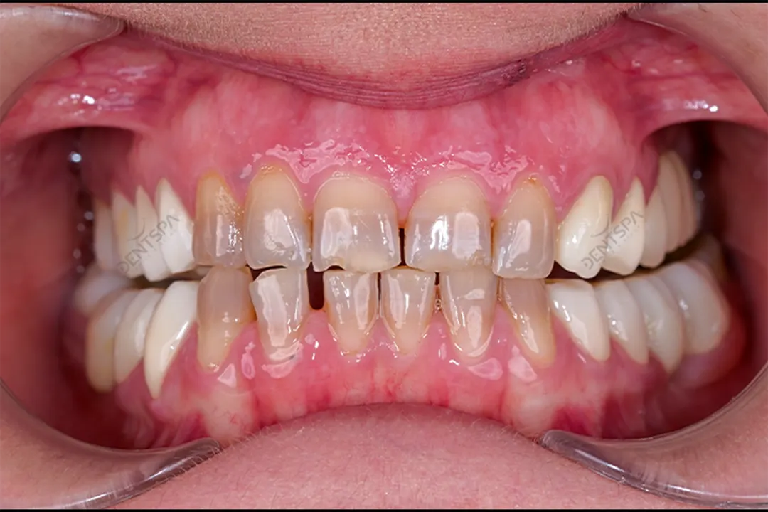
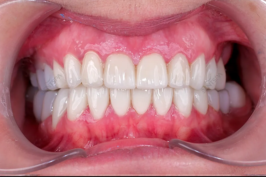
Before & After
Frequently asked questions
How long do I need to prepare before jaw surgery?
We generally recommend allowing one to two weeks for essential preoperative steps such as exams, scans, and consultations. During this time, our specialists gather all necessary medical and dental details, finalize the treatment plan, and address any health or medication factors. This thorough preparation helps ensure your procedure is as safe, efficient, and tailored to your needs as possible.
Why choose DentSpa in Turkey for your dental crown treatment?
Turkey has become a global hub for high-quality, cost-effective dentistry, and DentSpa stands out with its modern clinics, experienced specialists, and personalized care. We handle every detail—from airport transfers and hotel bookings to treatment scheduling—so you can relax and even enjoy a holiday while transforming your smile. Our commitment to patient satisfaction makes the journey rewarding from start to finish.
Can crowns be replaced or adjusted later if needed?
Yes. While crowns are designed to last many years, they can be replaced or repaired if they become damaged or wear down over time. We offer comprehensive follow-up services at DentSpa, ensuring you receive adjustments or replacements whenever necessary to maintain your dental health and smile aesthetics.
How should I care for and maintain my new crown?
Treat your crown as you would a natural tooth. This means brushing twice a day with a non-abrasive toothpaste, flossing gently around the gum line, and scheduling regular dental cleanings. Avoid chewing on very hard objects, and if you grind your teeth at night, consider a custom night guard. Proper care prolongs the life and look of your restoration.
Are dental crowns budget-friendly in Turkey?
Yes. One major advantage of choosing Turkey is the significantly lower treatment cost—often 40–60% less than in the UK or US—without compromising on quality. At Dentspa, we provide transparent pricing and flexible payment options, allowing you to achieve a high-quality result comfortably within your budget.
How quickly can I resume normal activities after getting crowns?
Most patients return to their usual routine the same or next day, experiencing only mild sensitivity in the short term. We recommend avoiding especially sticky or hard foods for the first 24 hours, but otherwise, your new crown should function like a natural tooth almost immediately. Any lingering discomfort typically subsides within a few days.
What types of materials does DentSpa use for dental crowns?
At DentSpa, we offer porcelain, zirconia, and Emax as our primary crown materials—each chosen for its durability, strong resistance to chipping, and natural-looking aesthetics. Our team will recommend the ideal option based on your unique needs, ensuring your crown blends seamlessly with your smile while providing lasting support.
Will my new crowns look and feel like real teeth?
Absolutely. We custom-craft each crown to match the color, shape, and bite of your existing teeth, resulting in a seamless, lifelike appearance. The advanced materials we use—such as porcelain, zirconia or Emax—deliver both durability and a natural finish. Our goal is to leave you with a radiant smile that no one will suspect isn’t completely natural.
Is the crown placement procedure painful or uncomfortable?
Our dental crown procedure is performed under local anesthesia or gentle sedation, making it virtually pain-free. You might experience minor post-treatment sensitivity for a day or two, but most patients find it easily managed with over-the-counter pain relievers. At DentSpa, your comfort is our top priority throughout every stage of treatment.
How long do dental crowns usually last with proper care?
Dental crowns can remain strong and beautiful for 10–15 years, and many even last longer. The key is practicing diligent oral hygiene—brushing, flossing, and routine dental check-ups—along with avoiding biting hard objects like ice. At DentSpa, we use premium materials and precise techniques to ensure your crowns stand the test of time.
What if I notice sensitivity after a filling or crown?
Maintain good oral hygiene and care for your oral health to support recovery. Sensitivity is normal for up to two months, but if it continues, feel free to contact us for assistance.
How long do veneers and crowns typically last?
Veneers and crowns can last 10 to 15 years or more with proper care, including good oral hygiene and regular dental check-ups.
Other treatments
Explore our full range of treatments
Smile Gallery
Join 50,000+ of Satisfied International Guests
Join 50,000+ of
Satisfied International Guests
who found their perfect smile in Istanbul’s most trusted dental spa
Reviews
Read what our patients say about their experience
Sara Gentry
Dental Crowns •
Dental Veneers
Amazing Smile Makeover Experience
February 24, 2026
Dr Medina and the entire dental staff at DentSpa far exceeded my expectations. I have now the most beautiful smile makeover with Emax crowns and veneers. My new smile has given me back my confidence that has been lost for so many years. Coming to Turkey alone as a 48 yr old women, not knowing what to expect, was a scary decision. I was blown away immediately by the level of service I’ve been shown from the staff. The DentSpa clinic is immaculate and sparkling clean. It really felt like a luxury spa experience. Dr Medina is focused on quality and aesthetics. She helped me choose what would look the best. I 10000/10 highly recommend!
James Myrick
Dental Crowns •
Tooth Implant Procedure
Great Experience with Crowns!
February 24, 2026
I got several crowns done at Dentdpa. They look great and so real! I didn’t think they could save a couple of my teeth but they did! Everything was easy. They provided rides to and from the airport and hotel, they all speak English, they explained the pricing and the process perfectly, and they do great dental work! They’re also really organized. I plan to go back to get implants on a few of my back teeth. I recommend them!
Mustafa Afif
Dental Crowns
Exceptional Experience at Dent Spa
December 9, 2025
I had an outstanding experience at Dent Spa, especially with Dr. Selin Guven and her amazing assistant. While I was in the U.S., Polly, company’s expert level Rep, provided all the information I needed, answered every question, and genuinely convinced me that Dent Spa was the right choice. She is truly awesome. From the moment I arrived in Istanbul, I was warmly welcomed by staff Reza, Munaem, and Maggie, who all went above and beyond to ensure my comfort. The entire team was professional, caring, and stayed in close communication with me throughout the visits and procedures. Dr. Selin Guven deserves special praise — her expertise, attention to detail, and gentle approach made the whole process smooth, graceful, and the results of my new crowns exceeded my expectations. I’m extremely grateful to her exceptional care. Worth mentioning, the transportation arrangements were perfect. Five stars simply aren’t enough. I highly recommend Dr. Selin Guven and the entire Dent Spa team!
Hendrix Feite
Composite Fillings
Great Clinic Experience
December 9, 2025
The clinic offers free food and drinks, a massage chair, complimentary WiFi, and even free transportation to and from the hotel, really helpful if you’re not familiar with the area. I highly recommend getting a CBCT scan done beforehand so they can give you an accurate quote. My dentist was super professional, and I’m happy with how my teeth turned out.
Alastair and Yvonne Armstrong
Dental Crowns
Great Service for My Crown
December 8, 2025
Unexpectedly, lost my crown while eating some Turkish delight! Dentspa were great. Fitting me in the next day, even though I called them at 6.30pm. They then did the prep work on that day and finished on the Monday before I flew out. My dentist, Madina, was excellent, explaining in fluent English each step. I would highly recommend Dentspa to anyone.
GREG Prather
Dental Crowns •
Implants for Multiple Teeth •
Root Canal Treatment
Amazing Dental Experience!
December 6, 2025
Came to dentspa in August for my 1st treatment, 3 root canals, 1 extraction and 2 implanted posts. The treatments were virtually pain free, staff was amazing, hotel was also very nice, came last week dec. 1st to finish my treatments, placed the implanted teeth, and also 26 zirconia crowns, tears of Joy , this is the best company and the best money, I’ve ever spent. My Driver Lakman was a joy and very professional.
Evidence Mutero
Composite Fillings •
Root Canal Treatment •
Tooth Implant Procedure
Excellent Dental Experience
December 5, 2025
I had my first visit at DentSpa and the experience was excellent. I went in for a root canal and fillings, and the team made the whole process smooth and comfortable. They explained everything clearly, worked professionally, and made sure I felt relaxed throughout the treatment. The clinic is clean, modern, and the staff are friendly and welcoming. I will be coming for my second visit to do the implants Overall, I’m very satisfied with the results and the service. I highly recommend DentSpa for anyone looking for quality dental care.
Philippe De Clercq
Bone Grafting •
Dental Crowns •
General Review •
Tooth Implant Procedure
Professional and Caring Team
December 3, 2025
Smoot, professional and straight forward; particularly as the task involved all my teeth – each dealt with a specialist: dr Gozde for the crowns, dr Serdar for the surgical treatment of bone grafting and implant and 7 teeth extraction and 2 old teeth implant, dr Damla for the gum operation and dr Tarik for the temporary denture during 4 month healing period and Oumnia who patient experience. Last but not least Rashid who managed my plan. Kind regards to you all, Philippe
Esther Cooperband
Dental Crowns •
Hollywood Smile
Great Experience at DentSpa
December 3, 2025
It’s always a pleasure returning to DentSpa. The army of staff ready to help is amazing I came back to have my teeth checked expecting to have problems but to my surprise they gave me a five star thumbs up that e everything was perfect with my crowns. This is a result of a excellent job done by Dr Mehmet. Thanks DentSpa for my Hollywood Smile. I highly recommend DentSpa!
Kieran Archer
Dental Crowns
Amazing Crown Experience!
December 1, 2025
I had 20 new crowns, top and bottom 10, amazing experience from the moment I was picked up at the airport all the way through to being dropped back off. Highly recommend

2.png)

















