A Confident Smile: Gum Alignment in Turkey
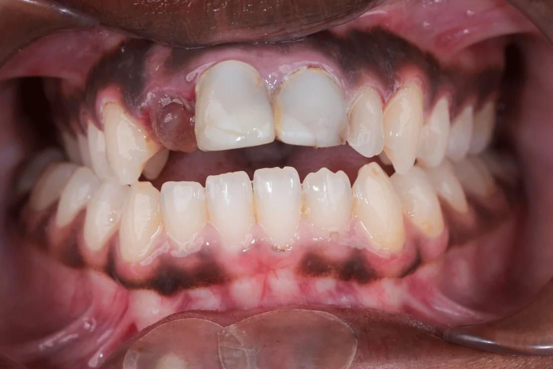
Gum alignment, sometimes called gum reshaping or contouring, is a specialized dental procedure that gently modifies the gum line to create a harmonious balance between teeth and gums. For those who feel self-conscious about a “gummy smile,” uneven gum levels, or receding tissue, this treatment can provide a transformative boost in both appearance and self-esteem. As dental tourism gains momentum, Gum Alignment in Turkey has emerged as a standout option for international patients looking for high-quality results at accessible prices.
One factor driving the popularity of gum alignment in Turkey is the country’s advanced medical infrastructure. Clinics like DentSpa have invested heavily in state-of-the-art technology—from modern lasers that deliver precise, minimally invasive contouring to digital imaging systems that help dentists plan each patient’s ideal outcome. Skilled professionals manage the entire process using internationally recognized techniques, ensuring that even complex gum challenges can be addressed. Meanwhile, costs often remain notably lower than those found in Western nations, offering an appealing combination of affordability and excellence.
Beyond the technical advantages, Turkey’s renowned hospitality enhances the overall treatment journey. Many clinics provide comprehensive support services—such as airport pickups, accommodation recommendations, and multilingual staff—designed to keep international patients at ease. And with so many cultural and historical landmarks nearby, patients can turn their dental appointment into a memorable vacation experience. Whether someone needs subtle shaping around a few teeth or a full transformation of the gum line, the blend of comfort, expertise, and cost-effectiveness makes Gum Alignment in Turkey an enticing solution for anyone seeking a more balanced, radiant smile.
What Is Gum Alignment?
Gum alignment is a procedure focused on reshaping and contouring the soft tissue around the teeth to achieve a symmetrical, aesthetically pleasing gum line. Also referred to as gum reshaping or gingival sculpting, it involves removing or reducing excess gum tissue, smoothing out uneven contours, or restoring balance where recession has occurred. Although often pursued for cosmetic reasons, gum alignment can also help diminish areas where plaque accumulates, thus promoting better oral hygiene and reducing the risk of gum disease.
Depending on the patient’s unique situation, the dentist may choose from several approaches. Laser gum contouring, for instance, uses targeted energy to remove excess tissue gently, resulting in minimal bleeding and faster healing times. In other cases, a small surgical procedure might be necessary to address more substantial reshaping or to correct significant recession by grafting tissue. Advanced dental technologies—such as digital scans and 3D imaging—play a key role in accurately planning the procedure, mapping the gum line for the best proportional outcome.
The actual treatment is typically straightforward. A local anesthetic numbs the area, and the dentist then carefully sculpts or removes gum tissue based on a personalized plan. Because these modern techniques are designed to be minimally invasive, discomfort is kept to a minimum. Once the procedure is finished, patients can often resume daily activities quickly—though a brief rest period helps ensure swift healing. Over the following days or weeks, any minor swelling fades, revealing the final, balanced look. This improved symmetry often helps teeth appear more prominent, allowing the natural shape and whiteness to take center stage. For individuals who once hid their smiles due to excessive or uneven gums, the transformation can be life-changing.
Who Benefits Most from Gum Alignment?
Gum alignment stands out for its versatility, addressing concerns that range from mild cosmetic tweaks to more noticeable corrections. Individuals with a “gummy smile”—where too much gum tissue covers the teeth—are prime candidates, as reshaping can expose more tooth surface and create a cleaner, more proportionate look. Those battling asymmetry, where the gum line dips or peaks irregularly from one tooth to the next, can also gain confidence and uniformity through a carefully planned alignment process. In addition, patients who have experienced gum recession may opt for procedures that rebuild or even out their gum line, often helping to protect tooth roots and reduce sensitivity.
Beyond cosmetic concerns, gum alignment can deliver tangible oral health benefits. Excess gum tissue can create pockets where bacteria accumulate, making it harder to maintain a clean environment around the teeth. Contouring or removing these areas can simplify brushing and flossing routines, preventing inflammation or gum disease over the long term. Moreover, aligning gums around dental restorations—such as crowns or veneers—can help these treatments blend seamlessly, giving an overall balanced and natural appearance.
Because this procedure is minimally invasive, many people are suitable candidates, including those who are short on recovery time or want to avoid more extensive surgical interventions. Dentists typically recommend a preliminary examination—possibly including X-rays or scans—to verify that underlying bone structures and teeth are in good condition. Preexisting periodontal diseases or severe health issues may require additional planning or treatment prior to scheduling gum alignment. However, for most adults seeking a neater, more proportionate gum-to-tooth ratio, this treatment is both safe and highly rewarding. Whether someone has had persistent insecurities about their gum line or has noticed recent changes, gum alignment offers a practical path toward a more polished and confident smile.
Why Choose DentSpa for Gum Alignment in Turkey?
DentSpa has established a reputation for blending advanced dental expertise with warm, personalized care, making it a leading choice for Gum Alignment in Turkey. From the moment patients reach out—whether through an online consultation or a phone call—the clinic aims to deliver transparent, patient-focused guidance. Each treatment plan is entirely customized, reflecting the patient’s specific gum concerns, aesthetic goals, and overall oral health status.
What truly sets DentSpa apart is its commitment to modern technology. The clinic employs precise laser systems that allow dentists to contour gum lines with minimal discomfort and little to no bleeding. This approach significantly shortens recovery times, enabling visitors from abroad to schedule their trips efficiently. By integrating 3D imaging, digital scans, and computer-assisted treatment planning, DentSpa’s specialists can pinpoint exactly how much tissue to remove or reshape, ensuring both immediate satisfaction and lasting stability.
For international patients, the journey is made seamless by multilingual staff experienced in dental tourism. They can assist with everything from airport transfers to accommodation recommendations, helping travelers feel supported throughout their visit. Financial clarity is also a priority; detailed cost breakdowns are provided upfront, ensuring patients can budget confidently. This level of organization extends to aftercare as well—post-treatment guidelines include tips on managing any initial tenderness, along with contact details in case follow-up questions arise once the patient returns home.
Moreover, the clinic’s broader scope of cosmetic and restorative offerings means that if a patient wants to combine gum alignment with other enhancements—like teeth whitening or veneers—DentSpa can provide a comprehensive plan under one roof. This one-stop convenience appeals to many who prefer to maximize their time abroad. Ultimately, DentSpa’s combination of skill, cutting-edge equipment, and patient-centric services presents a compelling choice for anyone ready to invest in a balanced gum line and a more confident smile.
Conclusion: A Balanced Smile Awaits
Making the decision to pursue Gum Alignment in Turkey can usher in a renewed sense of self-assurance for individuals concerned about a gummy smile or uneven gum line. Beyond purely aesthetic enhancements, aligning the gums often has practical advantages, such as reducing hard-to-clean areas and lowering the risk of gum-related issues down the line. Thanks to techniques like laser contouring and micro-surgical reshaping, the procedure is surprisingly gentle, with many patients resuming normal routines within a day or two.
Choosing the right clinic can make all the difference in achieving optimal results. At DentSpa, the marriage of advanced dental technology and personalized care ensures a smooth process from start to finish. Whether the goal is a subtle shift in gum contours or a major transformation, the team’s attention to detail helps create a natural-looking outcome that complements each patient’s unique facial structure and tooth alignment. Affordable pricing and efficient scheduling also empower international visitors to combine top-tier dental treatment with the opportunity to explore Turkey’s cultural and historical riches.Ultimately, gum alignment can address an array of concerns—ranging from disproportionate gum lines to ongoing oral health challenges—while elevating the aesthetics of one’s entire smile. For those who have spent years hiding their teeth or feeling self-conscious, this procedure offers a chance to reclaim confidence and well-being. By selecting DentSpa for Gum Alignment in Turkey, patients embark on a transformative journey under the guidance of experienced professionals, gaining the assurance that their new gum line will highlight, rather than overshadow, the beauty of their natural teeth. The outcome is more than just a cosmetic fix; it’s a long-lasting investment in oral harmony and self-esteem.
Before & After
Frequently asked questions
What does the gum alignment procedure usually involve, step by step?
After your initial consultation, you’ll visit our clinic for a thorough examination of your gums and overall oral health. Once your dentist confirms you’re a good candidate, a precise plan is drawn up, marking the new gum line and identifying areas of excess tissue. Local anesthesia ensures you remain pain-free as the dentist uses a laser or scalpel to align and contour the gums. Any excess tissue is safely removed, and the area is sanitized to promote proper healing. You’ll receive detailed aftercare instructions—covering everything from gentle brushing techniques to recommended diet modifications—and guidance on how to manage any minor soreness. With proper care, you’ll enjoy a beautiful, evenly aligned gum line for many years to come.
Why choose DentSpa in Turkey for gum alignment procedures?
Turkey has become a leading destination for dental tourism due to its high-quality services, advanced technology, and significantly lower costs compared to many Western countries. At DentSpa, we specialize in providing international patients with exceptional care from start to finish. Our modern clinics, multilingual staff, and convenient travel coordination (including airport transfers and accommodation assistance) ensure a stress-free experience. You’ll also have the opportunity to explore Turkey’s vibrant culture and historic landmarks, turning your dental journey into an unforgettable trip.
Can gum alignment be combined with other cosmetic dental treatments?
Yes. Gum alignment is often part of a broader smile makeover that may include treatments like teeth whitening, veneers, or orthodontics. By addressing multiple aesthetic concerns in a coordinated plan, you can achieve a balanced, harmonious smile more efficiently. During your consultation, your dentist will discuss which combination of treatments aligns best with your goals, timeline, and budget, tailoring a solution that enhances the overall appearance and health of your teeth and gums.
When can I eat normally, and are follow-ups required afterward?
You can typically resume eating soft foods within the same day or by the next morning, although sticking to a softer diet for the first few days aids in healing and comfort. As your gums recover and tenderness subsides, you’ll gradually return to your usual eating habits. In many cases, a single follow-up or routine dental check-up is sufficient to ensure proper healing, but if needed, additional appointments can be arranged. DentSpa’s team is always available for ongoing support, whether you remain in Turkey or have already traveled back home.
How much does gum alignment typically cost at DentSpa?
The cost varies depending on factors like the extent of the reshaping needed and whether additional treatments are part of your smile makeover. At DentSpa, we pride ourselves on transparent and competitive pricing designed to accommodate international patients seeking top-quality care in Turkey. After evaluating your case during a consultation—either online or in person—we’ll provide a detailed treatment plan and clear cost breakdown, so you know exactly what to expect.
What potential risks or side effects might I experience after gum alignment?
When performed by an experienced dental professional, gum alignment is considered low-risk. Minor post-procedure side effects—such as swelling, sensitivity, or mild bleeding—are possible, but these generally resolve within a week or two. Strict adherence to post-treatment guidelines, including suggested pain relief options and rinses, minimizes discomfort. Our team at DentSpa also remains available to address any rare complications or concerns, ensuring a safe, worry-free experience.
Can gum alignment fix an uneven or gummy smile effectively?
Absolutely. Gum alignment is highly effective for balancing uneven gum lines, reducing excess gum tissue, and addressing what’s commonly referred to as a “gummy smile.” Whether you’re dealing with excess gum tissue on specific teeth or across the entire upper arch, reshaping allows for a more proportionate frame around each tooth. The result is a cleaner, more symmetrical smile that highlights your teeth rather than excess gum tissue.
Are gum alignment results permanent, and will I see them immediately?
Yes, gum alignment is designed to offer permanent enhancements to your gum line. Right after the procedure, you’ll notice a more refined shape, though some minor swelling can obscure your final look for a few days. As your gums settle and heal, the results become even more apparent, providing long-lasting improvements. Maintaining healthy gums through proper oral hygiene and regular dental check-ups is key to preserving your newly contoured gum line for years to come.
Is gum alignment painful, and how long is the recovery?
Gum alignment is performed under local anesthesia with gentle laser techniques to keep you comfortable from start to finish. Most patients report minimal discomfort both during and after the procedure. You may feel mild soreness or experience slight swelling, but this typically fades within a few days. Although full healing can take one to two weeks depending on your individual case, most people can return to their normal activities—such as work or daily routines—almost immediately. Following any prescribed aftercare instructions, like using recommended mouth rinses and sticking to softer foods for a short period, helps ensure a quick and smooth recovery.
Other treatments
Explore our full range of treatments
Smile Gallery
Join 50,000+ of Satisfied International Guests
Join 50,000+ of
Satisfied International Guests
who found their perfect smile in Istanbul’s most trusted dental spa

2.png)

















