Achieving a Flawless Smile: Composite Bonding in Turkey
Composite bonding has rapidly gained recognition among individuals seeking a radiant, natural-looking smile. Unlike more invasive procedures that require reshaping or removing significant tooth structure, composite bonding is minimally invasive yet remarkably effective at concealing minor chips, discolorations, and gaps. When expertly performed, it provides an immediate transformation that can significantly boost confidence.
Turkey has emerged as a leading global destination for this treatment, blending expert dental care with cost-efficiency in a way that appeals to international travelers. Modern clinics are equipped with advanced technology, ensuring patients receive care on par with—or surpassing—what they might find at home, often at a fraction of the cost. This combination of affordability and high quality is a major reason why many choose to embark on a dental journey abroad.
Composite bonding relies on a tooth-colored resin that is carefully sculpted and hardened directly onto the enamel. Because the resin can be tinted and shaped to blend seamlessly with one’s existing teeth, the final result is virtually undetectable to others. Patients often remark on how quickly the procedure is completed—sometimes in just one short appointment—while still achieving dramatic, long-lasting improvements.
Another critical factor contributing to the popularity of composite bonding is its versatility. Whether you’re looking to close small gaps, mask hairline cracks, or refine tooth contours, the treatment can address multiple concerns at once. With minimal preparation needed, it preserves most of the natural tooth, making it an attractive option for those wary of extensive dental work.Above all, the appeal of Composite Bonding in Turkey hinges on its accessibility. With clinics offering competitive prices, a streamlined travel experience, and multilingual support, patients find it easy to schedule a visit that includes both dental care and leisure time. This fusion of professional expertise and cultural exploration turns what might be an ordinary dental appointment into a life-changing adventure—culminating in a smile that looks and feels perfectly authentic.
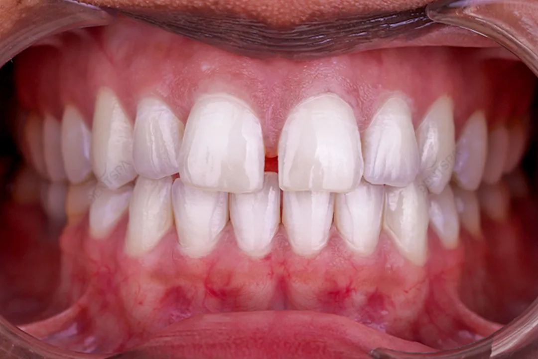
What Is Composite Bonding?
Composite bonding is a cosmetic dental procedure in which a skilled dentist applies a moldable resin to one or more teeth, sculpting it to correct imperfections. This resin, typically composed of high-grade plastic and glass particles, closely mimics the natural enamel in color and translucency. The process begins with a gentle etching or roughening of the tooth surface, allowing the bonding material to adhere more effectively. A specialized adhesive is then applied, followed by the carefully selected composite resin. Once shaped to complement the patient’s existing teeth, the resin is hardened using a curing light, creating an instantly refined look.
One of the primary benefits of composite bonding is its minimally invasive nature. Unlike veneers or crowns, the preparation required is minimal—often involving no more than a light polish or slight contouring of the tooth’s outer layer. As a result, patients retain most of their original tooth structure while enjoying significant cosmetic enhancements. The procedure can fix various issues, including chips, cracks, discoloration, small gaps, and uneven tooth lengths. In many instances, these corrections can be completed in a single session, reducing both chair time and overall cost.
From a functional perspective, composite bonding helps protect teeth that are weakened by fractures or enamel loss. By adding resin strategically, dentists can reinforce vulnerable areas without resorting to more extensive restorative measures. This strategic approach not only safeguards the tooth’s integrity but also preserves the natural bite alignment, ensuring no unwanted strain is placed on neighboring teeth.
Equally significant is the safety and efficacy of the treatment. Resin materials used today are developed with durability and biocompatibility in mind, making the bonding process both secure and long-lasting. Patients often experience minimal discomfort, and the risk of adverse reactions is extremely low. Because the procedure is relatively quick, anxiety is reduced—especially when performed by experienced dentists who prioritize a calm, supportive environment.
Who Is the Ideal Candidate?
Composite bonding offers a versatile solution for those seeking to enhance the look and function of their teeth. While it may not be suitable for severe misalignments or large structural damage, it can address a range of minor to moderate concerns. Below are common scenarios in which composite bonding proves to be an excellent choice:
- Chipped or Cracked Teeth: Individuals with small fractures that do not affect the tooth’s deeper layers benefit from the protective covering that bonding provides.
- Discoloration: For stains resistant to whitening procedures, bonding can create a uniform shade that blends well with surrounding teeth.
- Gaps or Spaces: Patients with slight gaps between teeth can use bonding to close these spaces, resulting in a more cohesive smile.
- Short or Worn-Down Edges: Composite resin can rebuild surfaces that have worn down due to grinding or natural wear, restoring a tooth’s original shape.
- Minor Crookedness: Small alignment issues can sometimes be disguised, creating the appearance of a straighter row of teeth without orthodontic treatment.
Before the treatment commences, a thorough consultation ensures the patient’s gums and teeth are in good condition, and that there are no underlying issues such as extensive decay or severe enamel erosion. Clinics in Turkey, including DentSpa, typically conduct digital scans or X-rays to confirm that a patient’s oral health supports safe bonding.
Any concerns regarding candidacy can be addressed during the initial evaluation. The dental team reviews your goals, discusses past dental history, and proposes a tailored approach that suits your lifestyle, budget, and aesthetic preferences. In many cases, minimal interventions like composite bonding can provide life-changing results for those who want to fix small but confidence-impacting flaws. As it usually doesn’t require multiple lengthy sessions, busy professionals or travelers with limited time find it especially appealing.
Why Choose DentSpa for Composite Bonding in Turkey?
DentSpa stands out as a premier clinic for Composite Bonding in Turkey thanks to its blend of specialized expertise, advanced technology, and patient-first approach. Patients from all over the globe arrive expecting top-tier dental care—and leave with renewed confidence, a comfortable post-treatment experience, and a comprehensive support system that extends beyond their stay.
A key differentiator is the clinic’s dedication to quality materials and precise craftsmanship. DentSpa’s dentists use resin brands recognized for strength, aesthetics, and adherence to international safety standards. This ensures the finished bonding won’t just look natural—it will also hold up to everyday biting and chewing forces. In-house labs, equipped with cutting-edge CAD/CAM systems, further streamline the treatment process. That means faster turnaround times and highly accurate results, so you can see your transformed smile sooner.
Beyond the clinical aspects, the staff at DentSpa brings genuine warmth and hospitality to each interaction. From initial contact via online consultation to guiding you through post-procedure care, the team is committed to transparent communication. Treatment plans and costs are explained clearly, preventing surprises and allowing you to budget effectively. For many visiting patients, additional perks such as airport pickup, hotel coordination, and multilingual assistance simplify the entire journey, making the dental experience both efficient and comforting.
Moreover, DentSpa maintains a strong track record in cosmetic dentistry. Testimonials consistently speak to the life-changing impact of composite bonding, where the clinic’s balance of artistic eye and technical expertise creates results that seamlessly blend in with a patient’s existing teeth. Whether you’re dealing with a single chipped tooth or seeking a full smile makeover, the approach remains the same: individualized attention, unwavering commitment to safety, and a desire to surpass your expectations. Simply put, DentSpa merges convenience, high standards, and compassionate care in a way that few clinics can match.
Conclusion: Your Path to a Renewed Smile
Choosing Composite Bonding in Turkey can be a pivotal decision—one that upgrades both your dental health and your personal confidence. With minimal invasiveness and immediate visual impact, composite bonding offers a highly appealing option for anyone aiming to correct minor flaws or refresh the look of their teeth. Whether you have chips, stubborn discoloration, or small gaps, this technique delivers immediate transformation with little disruption to your daily life.
Turkey has firmly established itself as a prime destination for cosmetic dental procedures, particularly for individuals seeking high-quality outcomes at competitive prices. In a single trip, you can tackle longstanding smile concerns while experiencing a beautiful country that bridges continents and cultures. Renowned clinics have embraced state-of-the-art tools and globally recognized standards, ensuring consistent, long-lasting results no matter your background or needs.
DentSpa excels in guiding patients through every step of the bonding journey. From your first virtual consultation to the final polish on your new tooth surface, the clinic’s experienced team prioritizes open communication and meticulous technique. The result is a smile that appears naturally radiant and fits seamlessly with your overall facial aesthetic. Moreover, thoughtful aftercare ensures your restoration remains strong and your confidence stays elevated for years to come.Ultimately, composite bonding isn’t just about vanity—it’s a route to better oral health, enhanced self-esteem, and a willingness to share your smile with the world. If you’ve been contemplating a less invasive yet high-impact treatment, consider the advantages of placing your trust in DentSpa’s experienced professionals. By choosing Composite Bonding in Turkey, you gain a winning combination of proven expertise, advanced dental artistry, and a memorable travel experience, all culminating in a refreshed smile that speaks volumes about who you are.
Before & After
Frequently asked questions
What does the composite bonding process and aftercare involve?
Your journey begins with a thorough consultation and dental assessment, during which we determine the most suitable treatment plan for your goals. The bonding itself involves gently roughening the tooth surface, applying a specially chosen resin, shaping and sculpting it, then curing and polishing for a seamless finish. After treatment, we provide personalized instructions on cleaning techniques, dietary considerations, and long-term care—such as regular brushing, flossing, and routine dental check-ups. With proper maintenance, your bonded teeth can retain their brilliance for many years to come.
Why choose Turkey and DentSpa for composite bonding procedures?
Turkey has become a premier destination for dental tourism thanks to its highly trained dentists, modern clinics, and cost-effective treatments. At DentSpa, we combine clinical excellence with warm hospitality to give you an exceptional experience from start to finish. Our dedicated team assists with every detail—including airport transfers, nearby hotel arrangements, and multilingual support—so you can focus on enjoying your new smile and exploring Turkey’s rich history and culture.
Is professional teeth whitening an option after composite bonding?
While natural tooth enamel responds well to professional whitening, composite resin does not lighten in the same way. For the best aesthetic outcome, we generally recommend scheduling any whitening procedures before bonding. If you decide to whiten afterward, only your natural teeth will change in shade, potentially creating a mismatch that can be addressed by replacing or adjusting the bonded areas.
How soon will I notice my final treatment results?
Composite bonding provides immediate results. In most cases, your smile transformation occurs in a single visit, allowing you to leave the clinic with a noticeably improved appearance. Because there is no downtime required, you can carry on with your daily activities right away and enjoy the confidence that a refreshed smile brings.
Will my bonded teeth seamlessly match my natural smile?
Absolutely. Our skilled dentists carefully select and layer tooth-colored resin to match both the shade and translucency of your natural teeth. We blend artistry with advanced technology, ensuring a harmonious transition between bonded and unbonded teeth. If you wish to whiten your smile, we usually recommend completing any whitening treatments before bonding so that the final shade is consistent and precisely matched.
How much does composite bonding typically cost in Turkey?
You can generally save 40–60% compared to treatment prices in the UK, US, or Canada—without sacrificing the high standard of care. At DentSpa, we use advanced techniques and internationally recognized materials, ensuring results that match what you’d receive in any top-tier Western facility. Final costs depend on the number of teeth treated, the complexity of your case, and any additional procedures you select. We also offer comprehensive, personalized packages that may include accommodations, transfers, and other services to make your dental journey both convenient and rewarding.
Can I eat and drink normally after my treatment?
You can resume most of your usual eating and drinking habits immediately. However, we suggest avoiding very hard or sticky foods, as well as heavily pigmented items like coffee or red wine, for the first 24–48 hours to allow the bonding material to settle properly. After this initial period, maintaining a balanced diet and practicing good oral hygiene will help protect your bonding and prolong its appearance.
Which common dental issues can composite bonding effectively improve?
Composite bonding is ideal for correcting minor chips, closing small gaps, hiding discoloration, and addressing slight misalignments. In cases of more significant structural damage or severe misalignment, alternative treatments such as crowns, veneers, or orthodontic care may be recommended. During your consultation, we thoroughly evaluate your unique situation to determine if composite bonding is the best solution for you.
Is the composite bonding procedure painful or overly invasive?
Most patients find composite bonding to be a comfortable, minimally invasive treatment that generally requires no anesthesia. Your dentist simply prepares the tooth surface, applies the resin, and hardens it with a specialized light. If you have particularly sensitive teeth, a mild anesthetic can be used to ensure your comfort. Overall, the procedure is quick and designed to keep you at ease from start to finish.
How long can I expect composite bonding to last?
Composite bonding typically endures for five to seven years, provided you maintain thorough oral hygiene and regular dental check-ups. Because the resin material can stain over time, we recommend avoiding excessive consumption of dark-colored beverages and using a soft-bristled brush and non-abrasive toothpaste. If needed, bonding can be refreshed or replaced by a professional, helping you preserve a beautiful smile for many years.
Can you fix chipped or cracked teeth?
Yes, we can effectively repair any chipped or cracked tooth with our advanced dental treatments.
Other treatments
Explore our full range of treatments
Smile Gallery
Join 50,000+ of Satisfied International Guests
Join 50,000+ of
Satisfied International Guests
who found their perfect smile in Istanbul’s most trusted dental spa
Reviews
Read what our patients say about their experience
Edi Edi
Composite Bonding
Great Service by Dr. Enes
November 8, 2025
Good customer service & Dentist Enes conducted good composite bonding for me whilst I was out there in turkey.
Carlotta Arona
Composite Bonding •
Dental Crowns •
Root Canal Treatment
Outstanding Dental Experience
October 25, 2025
I recently had my teeth treated at DentSpa, and it was an outstanding experience. I had been considering replacing my two incisors and two molars with crowns, as they were damaged, but it hadn’t been a priority. I live in New Zealand and am currently travelling in Europe. My partner casually mentioned that Türkiye is renowned for its state-of-the-art dental clinics, offering treatments at a fraction of New Zealand’s prices. I had no idea! If I’d ever thought about getting dental work done overseas, I would have considered Bangkok. So, I started researching dental clinics in Istanbul and came across DentSpa. I sent them a message, and within minutes, Merwan contacted me on WhatsApp for an initial chat and phone consultation. He was extremely helpful, responsive, and answered all of my questions about both the dental plan and Istanbul. I felt comfortable from the start and decided to book my treatment. Less than two weeks later, I arrived in Istanbul. Thank you, Merwan, for always being there to help. DentSpa arranged for a driver to pick us up from the airport and take us to our accommodation. For the entire duration of my treatment, I had a designated driver picking me up and taking me back each time. What a treat! The experience at the clinic was top-notch. From the moment I arrived, I was well looked after. Reda, my medical advisor, was very thorough in outlining the plan, and Kerim was always kind and smiley when escorting me to the treatment rooms and during our final settlement chat. The clinic itself is beautiful, with state-of-the-art equipment and an exceptionally high standard of cleanliness and hygiene. Everything felt professional, modern, and safe. I was genuinely impressed. All the doctors and their assistants were fantastic. Special thanks to Dr. Ahmet, who redid an old root canal — turns out, from the X-ray, that a root canal I’d had done 13 years ago was poorly performed and had an ongoing infection — and to Dr. Bedir, who did my four tooth shavings and crowns. He was so gentle, attentive, and talked me through every step of the process. Thank you so much, you were the best. Also, to the doctor who did my composite bonding on the last day to make one tooth longer — thank you! That really completed the look. Thank you to Nohaila, the patient care specialist, who checked in with me every other day to make sure I was doing well — that personal touch meant a lot. And thank you to everyone else at the clinic who interacted with me — the X-ray technician, the lovely smiley receptionists, the lady from Tunisia who did my survey, and the team who took the before-and-after pictures. You’re all doing an amazing job, interacting every day with people from all over the world. Last but not least, thank you to all the drivers who took me to and from the clinic. You guys are superstars — dealing with Istanbul traffic several times a day, every day! I would absolutely recommend DentSpa. I’ve already told my sister and her husband to get in touch with you, as they also need dental work. And surely, I’ll be back when I need more treatment. I live in New Zealand, but I have family in Italy — not so far away. Thank you again, DentSpa!
Jamila C
Composite Bonding
Natural and Gorgeous Bonding
September 18, 2025
Dr. Enes did my teeth composite bonding and it looks absolutely natural and gorgeous! No regrets and would highly recommend.
Amun Molu
Composite Bonding
Quick and Pain-Free Treatment
July 31, 2025
Mounaim was great, I needed a gap in between my teeth fixed I was in and out, pain free-in 45 minutes.
Didy Serayvi
Composite Bonding
I‘m very pleased with the treatment
July 30, 2025
I‘m very pleased with the treatment that I got in this clinic. I wanted natural looking composite bondings and that‘s what I got. The staff here are very friendly and welcoming. To sum it up I really recommend this clinic because their work is good and they have very affordable prices.
baylee yost
Composite Bonding •
Teeth Whitening
Amazing Experience at Dentspa
July 16, 2025
I had an excellent experience at Dentspa Healthcare Group for teeth whitening and composite bonding. The staff were incredibly welcoming and professional, making me feel comfortable from the moment I walked in. The whitening treatment gave me noticeably brighter results, and the composite bonding was done with great precision—it looks completely natural! I’m so happy with my new smile. Highly recommend Dentspa for anyone looking for quality dental aesthetics and care!
Raya's World
Composite Bonding
Great Experience with Bonding
June 17, 2025
Dr. Izgi did bonding on my lower teeth today, and it’s the first time they look great. She was absolutely lovely, very friendly and answered all my questions with a lot of patience.
Hussain Shabbir
Composite Bonding
Superb Composite Bonding Experience
May 3, 2025
I was seen by DR ezgi and has some composite bonding done to my teeth. She was superb and very helpful. She even booked a second appointment with me just to make sure I was happy with the treatment and if I required any changes.
Jay Rash
Composite Bonding
Great experience
June 23, 2023
Great experience, done my composite bonding and the result was amazing, great thanks to DR Bedir
Bea Hilson
Composite Bonding •
Teeth Whitening
So far so good I came to turkey last…
March 10, 2025
So far so good I came to turkey last month to get composite bonding done with dent spa I had my x rays done and a consultation I then had my teeth whitening and the lady’s who did it were lovely and explained everything I was unable to have the composite bonding done as I had to fly home early due to ill health but they happily rescheduled my appointment with no extra fee or hassle I am returning this month to get the composite veneers

2.png)

















