Table of content
Table of content
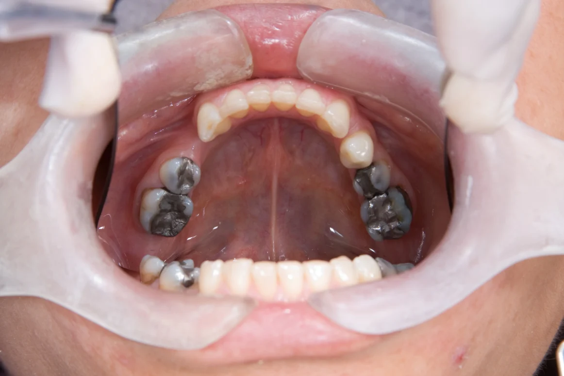
Amalgam fillings, the classic “silver” or “mercury” fillings, tell a clear story every time you open your mouth. They’ve done their job for years: strong, durable, and widely used. But they also come with two big drawbacks for today’s patients; they contain mercury (a toxic metal) and leave a dark, metallic shadow in an era where bright, natural smiles are the norm.
With more people choosing cosmetic treatments such as the Hollywood Smile in Turkey, many patients now feel their older black fillings are not in harmony with the rest of their teeth and can make their smile look older in photos and everyday life. That’s why modern cosmetic dentistry is shifting away from placing new amalgam fillings and towards safely removing old ones and replacing them with tooth-coloured, mercury-free restorations that blend seamlessly with the natural smile.
While amalgam fillings are still considered safe by the American Dental Association (ADA) and the U.S. Food and Drug Administration (FDA), some patients with previous amalgam fillings continue to express concern about the long-term effects of mercury. Modern restorative materials are mercury-free and provide a cosmetic result that is hard to beat. When executed with appropriate technique, the removal of amalgam fillings may be an easy and pleasant first step towards a more contemporary, natural smile.
Book Online Today! Speak with a DentSpa specialist to find out if your silver fillings need replacement.
What Happens During Amalgam Filling Removal?
The production of traditional amalgam fillings requires silver to be combined with tin and copper before adding a small amount of mercury to the mixture. The drilling process without protection leads to mercury vapor emission from these fillings as they age.
Dentists follow particular safety measures that protect your oral health while minimizing mercury vapor exposure when removing amalgam fillings.
A safe removal method usually includes:
- A rubber dam to isolate the tooth
- High-volume suction to capture mercury vapor
- Special ventilation systems
- Cutting the filling into larger chunks (reduces vapor release)
- Protective gear for both dentist and patient
These steps keep mercury levels extremely low, ensuring the patient remains safe throughout the removal process.
Why People Replace Silver Fillings With Modern Materials
When patients consider replacing their silver (amalgam) fillings, they usually have one of three primary goals in mind. Thinking about which one matters most to you is the first step!
- “I simply want to improve the appearance of my smile.”
You may easily identify metal fillings when you laugh, smile, or take pictures. Those gray patches from old silver fillings can ruin your clean, white smile if you’re trying to get a Hollywood smile. - “I prefer my fillings to resemble natural teeth.”
Most individuals are unable to distinguish the beginning and end of modern composite fillings because they are so precisely matched to your natural teeth. If you want your dental treatment to fit in rather than stick out, these are perfect. Many patients now opt for tooth-colored solutions rather than more traditional metal-based restorations because of advancements in cosmetic dentistry and restorative materials. - “I prefer choices that do not have mercury.”
While dental experts still define amalgam as a safe material for many people, there are individuals who just feel better knowing they are utilizing materials that do not contain mercury. For these people, utilizing tooth-colored, mercury-free restorations offers them protection for their smile and peace of mind in the long run.
Possible Side Effects of Removing Amalgam Fillings
When performed by a trained dentist, removing amalgam fillings side effects are usually mild and short-term, such as:
- Mild sensitivity
- Slight gum irritation
- Temporary metallic taste
- Light soreness from the drilling vibration
These issues typically resolve within a few days. Serious complications related to amalgam fillings are very rare if a proper technique is used.
What Are Your Options After Removal?
Once the filling is removed, the tooth can be restored with one of the following:
- Composite filling (tooth colored)
Most popular choice; creates a natural, smooth look. - Porcelain onlay or crown
Best for a larger cavity or teeth that require extra support. - Smile makeover
For patients replacing multiple silver fillings, we can develop a comprehensive long-term cosmetic plan to help them achieve a bright, more youthful-looking smile.
Am I a Candidate for Amalgam Filling Removal?
You may be a good candidate if:
- You want a more aesthetic, metal-free smile
- Your amalgam restorations are cracked, leaking, or worn
- You plan to upgrade your smile with veneers or a Hollywood Smile
- The filling causes tooth discoloration
- You prefer modern restorative materials instead of metal
- Your dental amalgam fillings no longer fit well
You may not be a candidate if:
- You are pregnant or breastfeeding
- You have uncontrolled medical conditions
- The filling is stable, and removal may risk the tooth
- You have allergies to composite materials (rare)
A professional assessment of the restoration can ensure that removing the restoration is appropriate, safe, and advantageous in the long term.
Contact Us Today! We will evaluate your individual case and indicate the safest way to remove the restoration.
What to Expect After Removal
Patients typically see an immediate improvement with minimal downtime.
You can expect:
- A natural tooth color that blends with the surrounding enamel
- No more dark metal shadows in photos
- Improved overall smile brightness
- Gradual reduction in sensitivity
- Long-lasting results with proper care
Most people return to normal eating the same day.
Why Turkey Has Become a Leading Choice for Amalgam Removal
Turkey is one of the top destinations for cosmetic dentistry, thanks to:
- Advanced clinics offering a safe mercury amalgam removal technique
- Expert cosmetic dentists with international training
- Long-term, predictable results with high-quality materials
- Affordable pricing compared to the US, UK, and Europe
- Digital smile design for precise aesthetic planning
- Full travel support (airport pickup, hotel coordination, translation)
Many patients combine amalgam removal with cosmetic upgrades like crowns, veneers, or bonding for a complete smile transformation.
Why Choose DentSpa for Removing Amalgam Fillings?
DentSpa combines safety, precision, and cosmetic artistry, making it one of Turkey’s best clinics for replacing old silver fillings.
At DentSpa, you benefit from:
- PhD-level specialist doctors
- Professors and associate professors supervise each case
- Strict protocols for controlling mercury vapor and exposure
- High-quality composite and porcelain materials
- State-of-the-art technology and digital smile design
- Transparent explanations of long-term expectations
- Full A–Z care from your online consultation to final follow-up
Whether you’re replacing one filling or upgrading your entire smile, DentSpa ensures safe removal and beautiful, natural results.
Schedule Your Visit!
A brighter, more modern smile begins with replacing outdated amalgam fillings.
Contact DentSpa for professional advice on removing amalgam fillings. Use our online contact form for an immediate response.
Frequently asked questions
How long can a patient expect their composite fillings to last?
Composite fillings can generally last 7-12 years, depending on factors like biting pressure, hygiene, and whether regular check-ups are in place. High-quality composite and porcelain fillings can provide a durable long long-lasting life as another option, and reinforced aesthetics as opposed to diminished or eliminated aesthetics from 150-year-old amalgam fillings.
Is it in my best interest to change my silver fillings to composites?
A lot of patients choose to replace their silver fillings with composites based on the fact that they are natural-looking and more in line with modern ideals of cosmetic dentistry, such as getting a Hollywood Smile, more uniform tooth color, etc. Composite and porcelain durable materials that are not made from metals are less noticeable than others and do not contain mercury.
Are silver (mercury) fillings a health risk?
The ADA and the U.S. FDA regard dental amalgam fillings as very safe for the general public. Though they contain silver, tin, copper, and very minimal amounts of mercury, studies conducted show no proven long-term health problems in the majority of the population. Patients still opt for replacement for comfort, aesthetics, or peace of mind.
What are the side effects of removing amalgam fillings?
Most side effects are of a minor and temporary nature. After removal, some patients may experience temporary tooth sensitivity, slight irritation of the gums, or a metallic taste lasting for a few hours or even days. In most instances, they completely disappear in a few days. Serious health effects associated with an amalgam restoration are extremely rare if safety precautions are taken.
Is removal of amalgam fillings safe?
Yes, when dentists remove amalgam following proper methods, it will be completely safe. As the filling is drilled out, if any mercury is released, it will be a very tiny amount during the process. While drilling into the filling, Dentists will protect you from exposure to mercury by using rubber dam isolation, high volume suction, and by cutting the filling into large pieces – all for your oral health safety.









