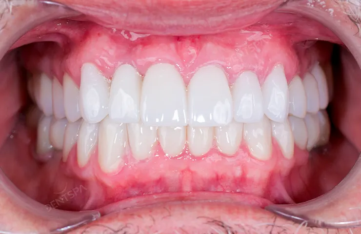
عيش التجربة التحوّلية: ابتسامة هوليوود في تركيا
أصبحت تركيا وجهة رائدة عالميًا لسياحة طب الأسنان، وتعتبر ابتسامة هوليوود في تركيا في طليعة هذا الاتجاه. حيث تقدّم مزيجًا من التكنولوجيا المتطورة والممارسين الخبراء والميزات التكاليفية، تجذب العيادات التركية الآن المرضى من كل ركن من أركان العالم. في قلب هذه الشعبية المتزايدة تكمن الرغبة في الحصول على ابتسامة رائعة تعزز الثقة بالنفس—ابتسامة لا تبدو مذهلة في الصور فحسب، بل تتماشى أيضًا مع نمط حياة كل مريض وملامح وجهه واحتياجاته الصحية الفموية.
إذًا، لماذا تحظى ابتسامة هوليوود بهذا الطلب الكبير، ولماذا يسافر الناس لمثل هذه المسافات بعيدًا للوصول إليها؟ ببساطة، لأنها توفر حلاً شاملاً للعيوب السنية. سواء كنت تعاني من التصبغات أو الانحناءات البسيطة أو الحواف المتشققة، فإن تقنية ابتسامة هوليوود تعالج هذه المخاوف بشكل شامل، وغالبًا في غضون أيام قليلة فقط. الطابع المخصص للإجراء يضمن أن كل فرد يحصل على مظهر يناسبه بشكل فريد—بعيدًا عن أي نهج “مقاس واحد يناسب الجميع”.
علاوة على ذلك، يختار المرضى الدوليون تركيا بسبب النسبة التي لا تضاهى بين التكلفة والجودة. في حين يمكن أن تكون الرسوم في العديد من الدول الغربية باهظة، توفر ابتسامة هوليوود في تركيا نفس معايير الرعاية—أو أفضل—بجزء صغير من السعر. بالإضافة إلى كونه أكثر توفيرًا، تتبنى العيادات التركية باستمرار الابتكارات الحديثة، مثل التصوير ثلاثي الأبعاد والتصميم الرقمي للابتسامة، لضمان نتائج مثالية. يخضع أطباء الأسنان ذوو الخبرة هنا لتدريب مكثف، وغالباً ما يحصلون على شهادات دولية، لضمان أن تحول كل مريض يكون جماليًا ومذهلاً وطويل الأمد.
الأهم من ذلك، أن الأجواء في العيادات المعتَبَرة تعزز الشعور بالأمان والاطمئنان. الفرق مثل تلك في Dentspa تعطي الأولوية للتواصل والراحة وخطط العلاج الشخصية. الهدف هو خلق ابتسامة تبدو بشكل طبيعي جذابة بينما تعزز الصحة الفموية بشكل عام. بدءًا من الاستفسارات الأولية حول لوجستيات السفر إلى نصائح ما بعد العلاج لصيانة تدوم مدى الحياة، يتم تخطيط كل خطوة بعناية. سواء كنت تسعى لتحسين مشاكل معينة أو ببساطة لترقية مظهرك، قد تكون ابتسامة هوليوود في تركيا البوابة المثالية للذات الأكثر ثقة بك.
ما هي عملية ابتسامة هوليوود؟
ابتسامة هوليوود هي تحول شامل للأسنان يهدف إلى تحقيق أسنان موحدة ومشرقة ومنسقة بشكل جميل. وعلى الرغم من أنها تُوصَف غالبًا كعلاج واحد، إلا أنها عادةً تجمع بين عدة نهج تجميلية وترميمية—مثل الفينير والتاج والتبييض الاحترافي—لخلق تحول متكامل. كل خطة تبدأ باستشارة شاملة، يتم خلالها استخدام أدوات التصوير والاختبارات التشخيصية لتقييم أسنانك واللثة. باستخدام هذه الرؤى، يصمم طبيب أسنانك حلاً فريداً يعالج كل شيء من اللون إلى الشكل، ليمنحك التوهج النجمي الذي طالما حلمت به.
عادةً ما تبدأ ابتسامة هوليوود بتحضير طفيف للأسنان. خلال هذه المرحلة، قد تتم إزالة طبقة رقيقة من المينا لضمان ملاءمة الفينير أو التاج بشكل مريح. بعد ذلك، يتم صنع الترميمات من البورسلان أو الزركونيا—غالباً بمساعدة تكنولوجيا CAD/CAM الرقمية—لتتناسب مع الأبعاد الدقيقة لأسنانك. في العديد من العيادات التركية الرائدة، يتيح المعدات المتقدمة أوقات تسليم سريعة، مما يعني أنه يمكنك رؤية تغييرات دراماتيكية في أيام بدلاً من أسابيع.
إضافة إلى تبييض وتقويم الأسنان، يوفر هذا النهج أيضًا فوائد عملية ملموسة. يمكن للتاج، على سبيل المثال، تعزيز المينا المتضررة وحماية الأسنان الضعيفة من المزيد من الأضرار. يمكن للفينير حماية الأسنان من التصبغات والتشققات، مما يطيل من فترة صحتها على المدى الطويل. نظرًا لأن العيادات في تركيا تحافظ على معايير أمان عالية وتستخدم مواد معتمدة من إدارة الغذاء والدواء الأمريكية، عادةً ما تكون العملية سلسة وخالية من الألم وذات دقة حرفية.
بينما تجذب الجوانب الجمالية العديد، يكتشف الكثير من المرضى أن ابتسامة هوليوود تعزز ثقتهم بالنفس وتشجع عادات صحة فموية أفضل. الاستثمار في ابتسامتك يحفزك على الحفاظ على مظهرها الأفضل، مما يُترجم إلى تنظيف منتظم بالفرشاة والخيط وزيارات متابعة دورية. سواء كنت تسعى لتصحيح عيب بسيط أو خوض تجديد شامل للفم، فإن مرونة ابتسامة هوليوود تجعلها خيارًا مثاليًا. هذا المزيج من البراعة الجمالأוكدهمية والمساندة الحقيقية هو ما يشكل العلاج كمعيار متميز في طب الأسنان الحديث.
من هو المرشح المثالي لابتسامة هوليوود؟
الأفراد الذين يستفيدون بشكل أكبر من ابتسامة هوليوود هم أولئك الذين لديهم رغبة قوية في تعزيز أسنانهم جماليًا ووظيفيًا. في حين يمكن تعديل الإجراء ليلائم ظروفًا متعددة، فإن المجموعات التالية غالبًا ما ترى أكثر التحسينات وضوحًا:
- الأسنان المتصبغة أو المشوهة :إذا كنت تعاني من تصبغات مستمرة لا يمكن إزالتها بواسطة التبييض التقليدي، يمكن للفينير أو التيجان إخفاء التصبغات وخلق مظهر موحد ولامع.
- الفجوات الطفيفة والاعوجاج: بالنسبة لأولئك الذين لديهم مشكلات بسيطة في الفجوات أو الانحرافات الطفيفة، يمكن لابتسامة هوليوود توفير بديل سريع وفعال للعلاجات التقويمية الطويلة.
- لأسنان المتشققة أو البالية: يمكن للفينير حماية أسطح الأسنان المتضررة مع تحسين شكلها ومظهرها، مما يجعلها تبدو صحية وقوية مرة أخري
- الباحثون عن الثقة: إذا وجدت نفسك تخفي ابتسامتك في الصور أو في المناسبات الاجتماعية، يمكن لابتسامة هوليوود أن تعزز بشكل كبير ثقتك بنفسك وراحتك الاجتماعية.
قبل الموافقة على الإجراء، تقوم العيادات المرموقة مثل Dentspa بفحص شامل لضمان عدم وجود حالات تضر الأهلية مثل أمراض اللثة. إذا كانت هناك مشكلات، يمكن عادة حلها قبل أو جنبًا إلى جنب مع التحسينات التجميلية. العمر عامةً ليس عاملًا محددًا؛ الأولوية تكمن في إذا ما كان فمك صحيًا بما يكفي للفينير أو التيجان. سواء كنت شابًا شغوفًا بالبحث عن مظهر جديد أو شخصًا يسعى لعكس سنوات من التآكل، فإن قدرة ابتسامة هوليوود على التكيف تجعلها متاحة لفئة واسعة من الناس.
في النهاية، يأتي تحديد ما إذا كنت مرشحًا مناسبًا إلى حالتك الصحية الفموية، أهدافك الجمالية، ورغبتك في الامتثال لإرشادات طبيب الأسنان. الذين يلتزمون بالعناية الجيدة بعد العلاج—مثل استمرار تنظيف الأسنان واستخدام معجون أسنان غير خشن والحضور للفحوصات الدورية—عادةً ما يتمتعون بابتساماتهم الجديدة لعقد أو أكثر. إذا كان أي من السيناريوهات المذكورة أعلاه يتردد صداه لديك، فقد حان الوقت لاستكشاف ابتسامة هوليوود في تركيا وما تحمله من إمكانيات تغيير الحياة.
لماذا تختار Dentspa لابتسامتك الهوليوودية؟
ما يتعدى القدرة المالية والمهنيون المدربون تدريبًا عاليًا هو اختيار العيادة المناسبة لرحلتك في الابتسامة الهوليوودية في تركيا من الأمور الحيوية. في Dentspa، يتم تحسين كل جانب من جوانب الرعاية—من الاستشارة الأولية إلى المتابعة بعد العلاج—لتضمن أن يحصل المرضى على خدمة ونتائج لا مثيل لها.
- سمعة عالمية: حققت Dentspa حضوراً دولياً قوياً يظهر من خلال العديد من قصص النجاح والشهادات المتوهجة. سجلهم الموثوق يعزز الثقة، خاصة لأولئك القادمين من الخارج.
- تكنولوجيا متطورة: تتيح الأدوات التشخيصية المتقدمة مثل التصوير ثلاثي الأبعاد وتصميم الابتسامة الرقمية دقة فائقة، مما يقلل من الافتراضات ويضمن نتيجة حقيقية مخصصة. في الوقت نفسه، تسرّع المختبرات الداخلية من الإنتاج، مما يقلل من أوقات الانتظار بين الزيارات.
- فريق ذو خبرة: يخضع أطباء الأسنان في العيادة لتدريب واسع في مجال التجميل والترميم، مما يمنح كل حالة لمسة فنية. نظرًا لاختلاف ملامح الوجه ونمط الحياة لدى كل مريض، فإن هذه الخبرة تضمن ابتسامة تبدو وتشعر بأنها طبيعية تمامًا.
- تجربة مركزة على المريض: تتفوق فرق Dentspa في جعل المرضى الدوليين يشعرون بالراحة، حيث يقدمون المساعدة في ترتيبات السفر وتوصيات الإقامة. نهجهم الحميم يعزز الثقة ويضعك في حال من الاطمئنان من لحظة دخولك الباب.
- الديمومة والجودة: يتم استخدام فقط مواد ذات جودة عالية مثل البورسلان والزركونيا وE.max، مما يضمن المتانة والمظهر الشفّاف والمشابه للواقع. مع حرفية Dentspa الدقيقة، تم تصميم ابتسامتك الهوليوودية لتدوم وتثبت أمام اختبار الزمن.
باختيارك لـ Dentspa، تنطلق في شراكة مع مهنيين يضعون أولى وأكبر أولوياتهم في راحتك وصحتك العامة. سواء كنت بحاجة إلى تحسينات طفيفة أو تجديد شامل، فإن تركيزهم على الدمج بين الفن، التكنولوجيا، والانتباه الشخصي يميزهم في المجال التنافسي لابتسامات هوليوود في تركيا.
الخاتمة: الاستفادة القصوى من ابتسامة هوليوود في تركيا
الاندفاع نحو الابتسامة المتجددة يمكن أن يمثل بداية فصل جديد—حيث يصبح التردد بشأن أسنانك ماضيًا ويحل مكانه الفخر والثقة بالنفس. مع ابتسامة هوليوود في تركيا، تحصل على خدمات علاج عالمية بأسعار معقولة، مقدمة في بيئة تجمع بين الدفء والخبرة. تنظم العيادات مثل Dentspa عملية علاجك بدقة، وتتناول مخاوفك السنية الفريدة مع مواءمة النتيجة النهائية مع هيكل وجهك وتفضيلاتك الشخصية.
Before & After
الأسئلة الشائعة
هل يمكنني الجمع بين إجراء العلاج وعطلة لا تُنسى في تركيا؟
بالتأكيد. يقوم العديد من المرضى الدوليين بجدولة وقت إضافي لاستكشاف التراث الثقافي الغني لتركيا، ومُدُنها النابضة بالحياة، وسواحلها الخلابة أثناء خضوعهم للعلاج. مع جداول زمنية فعّالة وفترات علاج قصيرة، يمكنك الاستمتاع بالمواقع التاريخية في إسطنبول أو الاسترخاء على طول البحر الأبيض المتوسط بين المواعيد. تقدم DentSpa مساعدة شاملة في السفر، بما في ذلك النقل من المطار واقتراحات للإقامة المحلية، لضمان أن تكون زيارتك بأكملها تحت شعار:
(من لحظة هبوطك حتى عودتك إلى المنزل بسلاسة قدر الإمكان)
هل هناك فترة تعافي أو رعاية خاصة مطلوبة بعد العلاج؟
معظم الناس لا يعانون من أي فترة تعافي بعد علاج ابتسامة هوليوود، رغم أن حساسية طفيفة قد تحدث لفترة قصيرة. سيقدم لك طبيب الأسنان تعليمات للعناية بعد العلاج، مثل استخدام فرشاة أسنان ناعمة الشعيرات، وتنظيف الأسنان بالخيط بلطف، وتجنب الأطعمة الصلبة جدًا خلال الأيام الأولى. يُنصح بإجراء فحوصات دورية للأسنان لمراقبة حالة ترميماتك، وتبقى النظافة الفموية الجيدة أساسية للحفاظ على بريقها. إذا كنت مسافرًا من الخارج، توفر العديد من العيادات دعمًا عن بُعد لمعالجة أي مخاوف بعد العلاج.
كم من الوقت سأحتاج حتى استأنف الأكل والكلام الطبيعي؟
بمجرد تثبيت القشور أو التيجان وزوال تأثير التخدير، يمكنك عادة الأكل والتحدث كالمعتاد على الفور. يُلاحِظ بعض المرضى حساسية طفيفة عند تناول الأطعمة الساخنة أو الباردة، لكن هذا يختفي عمومًا خلال بضعة أيام. نظرًا لأن الترميمات تعمل مثل الأسنان الطبيعية، يمكنك الاستمتاع بوجباتك ومشروباتك المفضلة والمحادثات -دون انقطاع- فقط تذكر تجنب الأشياء القاسية جدًا أو اللزجة التي قد تضر بترميماتك الجديدة خلال الأيام الأولى.
ما هو السيراميك (Emax)؟
(Emax) هو الاسم التجاري لنظام سيراميك معين. إنه شكل متقدم من البورسلين يتميز بقوة استثنائية ومظهر جمالي يشبه الأسنان الط ويُختار بشكل متكرر لعلاجات ابتسامة هوليوود. بمعنى آخر، (Emax) ليس فئة مواد منفصلة، بل هو علامة تجارية عالية الجودة للسيراميك توفر طول عمر ممتازًا ولمسة نهائية جميلة وطبيعية معًا، تساعد هذه المواد المختارة بعناية في ضمان تحقيق نتيجة مذهلة ومضمونة على المدى الطويل لابتسامتك الجديدة.
هل يتم استخدام مواد عالية الجودة ومعتمدة من (FDA) في ابتسامة هوليوود؟
بالتأكيد. تُعطي العيادات التركية ذات السمعة الجيدة، بقيادة DentSpa، الأولوية لسلامة المرضى ولا تستخدم إلا المواد المعتمدة دوليًا والمُصدَّق عليها من قِبَل إدارة الغذاء والدواء الأمريكية. تُعتبر الزركونيا والسيراميك (Emax) اختيارات شائعة للقشور والتيجان بسبب متانتها، وشفافيتها الشبيهة بالأسنان الطبيعية، وسجلها المثبت للتوافق الحيوي. تساعد هذه المواد المختارة بعناية في ضمان نتيجة جميلة وموثوقة على المدى الطويل.
هل تعتبر ابتسامة هوليوود في تركيا أقل تكلفة مقارنة بالدول الأخرى؟
أصبحت تركيا وجهة شهيرة لتحسينات ابتسامة هوليوود بفضل خبرتها الرائدة في طب الأسنان المقدم، و بتكاليف أقل بكثير من العديد من الدول الغربية. عوامل مثل انخفاض تكاليف التشغيل والفرق في أسعار صرف العملات المواتية؛ تسمح للعيادات بتقديم نفس معايير الرعاية أو أعلى من السعر الذي قد تدفعه في أماكن أخرى. في DentSpa، نحافظ على التزام صارم ببروتوكولات السلامة الدولية ونستخدم مواد ممتازة دون المساومة على القدرة على تحمل التكاليف.
هل ستبدو ابتسامتي الجديدة طبيعية ومتناغمة مع وجهي؟
نعم؛ الهدف من ابتسامة هوليوود هو تعزيز- وليس تغير- ملامحك الطبيعية. يقوم أطباء الأسنان وأخصائيو التصميم باختيار المواد والأشكال بعناية لتتناغم مع هيكل وجهك، وخط الشفاه، وذوقك الشخصي. تضمن التقنيات المتقدمة، مثل تصميم الابتسامة الرقمي وعمليات التصنيع الدقيقة، أن كل قشرة أو تاج يندمج بسلاسة للحصول على نتيجة متناغمة وواقعية. النتيجة هي ابتسامة مشرقة تبدو متناسبة مخصصة لك.
هل يمكنني تخصيص لون وشكل القشور الخاصة بي؟
بالتأكيد؛ أحد أكثر الجوانب جاذبية في ابتسامة هوليوود هو القدرة على تخصيص وتصميم كل تفصيلة، بدءًا من تنقيحات دقيقة في الظل إلى تعديلات في طول الأسنان ومحيطها. تتعاون بشكل وثيق مع طبيب الأسنان أو فريق تصميم الابتسامة لاختيار درجات تناسب لون بشرتك وملامحك، مما ينتج مظهرًا ملفتًا للانتباه ولكنه طبيعي يعكس أسلوبك و تفضيلاتك.
هل علاج ابتسامة هوليوود مؤلم أو معقد بأي شكل من الأشكال؟
معظم المرضى يشعرون بعدم ارتياح طفيف بفضل التخدير الموضعي والتقنيات الحديثة المحافظة. يكون تحضير الأسنان لطيفًا، حيث يتم إزالة طبقة رقيقة فقط من المينا لاستيعاب القشور أو التيجان (الفينير). قد تشعر بحساسية طفيفة لبضعة أيام بعد الإجراء، ولكن هذا عادة ما يختفي بسرعة. بشكل عام، تم تصميم العملية لتكون مريحة قدر الإمكان، مما يبقيك مسترخيًا وواثقًا من البداية إلى النهاية.
ماذا يتضمن إجراء ابتسامة هوليوود عادةً؟
تجمع ابتسامة هوليوود عمومًا بين القشور الخزفية (الفينير)، والتبييض، وتصحيحات طفيفة في الأسنان، وتصميم ابتسامة دقيق لإنشاء مظهر مشرق ومتناسق.
بعد استشارة متعمقة ومعاينة رقمية للنتائج المقترحة، قد يقوم طبيب الأسنان بتحضير خفيف لأسطح الأسنان ثم يثبت ترميمات عالية الجودة مصممة وفق تفضيلاتك الجمالية من الاستشارة الأولية إلى التركيب النهائي، يتم التخطيط لكل مرحلة بعناية لضمان أن تبدو ابتسامتك الجديدة بأنها طبيعية تمامًا.
ما هي المدة التي يمكن أن تستمر فيها نتائج ابتسامة هوليوود بشكل واقعي؟
عادةً ما تستمر تحسينات ابتسامة هوليوود من 10 إلى 15 سنة،أو حتى لفترة أطول؛ عند الحفاظ عليها بنظافة فموية ممتازة، وفحوصات دورية لدى طبيب الأسنان، المواد عالية الجودة مثل قشور البورسلين أو تيجان الزركونيا التي تتميز بالمتانة العالية ومقاومة التبقع،
ولكن عوامل مثل صرير الأسنان (الضغط على الأسنان)، والحمية الحامضية، وإهمال الرعاية الروتينية يمكن أن تقصر من عمرها.
من خلال تنظيف الأسنان بالفرشاة مرتين يوميًا، واستخدام الخيط، وزيارة طبيب الأسنان للتنظيفات الدورية، يمكنك إطالة عمر ابتسامتك الجديدة المذهلة لأكثر من عقد.
علاجات أخرى
استكشف مجموعتنا الكاملة من العلاجات
معرض الابتسامات
انضم إلى أكثر من 50,000 ضيف دولي راضٍ
انضم إلى أكثر من 50,000 من
ضيوف دوليون راضون
الذين وجدوا ابتسامتهم المثالية في أكثر مركز أسنان موثوق به في إسطنبول
المراجعات
اقرأ ما يقوله مرضانا عن تجربتهم
Esther Cooperband
ابتسامة هوليوود •
التيجان السنية (الطربوش)
تجربة رائعة في DentSpa
December 3, 2025
دائمًا ما يكون من الممتع العودة إلى DentSpa. مجموعة الموظفين المستعدة للمساعدة رائعة. عدت لفحص أسناني متوقعًا وجود مشاكل، لكنني فوجئت أنهم منحوني خمسة نجوم وأكدوا لي أن كل شيء كان مثاليًا مع التيجان الخاصة بي. هذا نتيجة لعمل ممتاز قام به الدكتور Mehmet. شكرًا DentSpa على ابتسامتي الهوليوودية. أوصي بشدة بـ DentSpa!
•
Nazita Ghaznavi
ابتسامة هوليوود
تجربة مذهلة في دينتسبا
November 27, 2025
كانت عيادة دينتسبا مذهلة للغاية. كان جميع الأطباء والممرضين والموظفين مفيدين وداعمين بشكل استثنائي. خاصة السيد سهيب، والسيد مونيام، والآنسة ماغي. بصراحة، كان جميع العاملين هناك ودودين للغاية ومحترفين. المكتب نظيف وعصري ومرحب للغاية. أنا في منتصف فترة علاجي وأنا متحمس جداً لإنهاء باقة الابتسامة الهوليوودية في بداية العام الجديد 2026. سأشارك جميع تفاصيل العلاجات مع بعض الصور قريباً.
•
Tamer nofael
ابتسامة هوليوود
تجربة ابتسامة متغيرة
September 23, 2025
لقد جعلوا المستحيل ممكنًا. كان لدي أسنان سيئة جدًا طوال حياتي، كنت خجولاً من الابتسام والآن لا أستطيع التوقف عن الابتسام. لقد أعادوني إلى الحياة 😂 شكرًا DentSpa.
•
Ismael Mba Esono
ابتسامة هوليوود
سعيد بابتسامتي هوليوود
September 8, 2025
كل شيء كان جيدًا جدًا، جئت بمشكلة الابتسامة وأنا عائد إلى الوطن أرغب في رؤية عائلتي والابتسامة لهم. بلا شك، سأوصي بهذه العيادة لكل أحبائي. آمل أن أتمكن من العودة.
•
charlotte massart
ابتسامة هوليوود
تجربة ممتازة في دينت سبا
September 4, 2025
تجربة رائعة في دينت سبا، شكرًا لجميع أفراد الفريق الذين قاموا بما يلزم لتلبية احتياجاتي. أنا سعيدة جدًا بالنتيجة، فأنا أملك الآن هذه الابتسامة الجميلة. أوصي بهذه العيادة، لا تترددوا في المجيء! شكرًا مرة أخرى، دينت سبا! ✨️
•
Jolomisan Benson-Amiwero
ابتسامة هوليوود
متحمس بابتسامتي هوليوود
September 4, 2025
تم تقديمي إلى DentSpa من قبل صديق. جئت من الولايات المتحدة الأمريكية. أنا متحمس للغاية لمهنيتهم. هذا المكان نظيف للغاية. أود أن أشكر الموظفين من مكتب الاستقبال إلى الأطباء على عملهم الجيد. شكرًا لك على إعطائي ابتسامة هوليوود.
•
pol palsh
ابتسامة هوليوود
عيادة ممتازة للابتسامات
August 28, 2025
عيادة جيدة، مريحة وسريعة وعالية الجودة. لقد صنعوا ابتسامة جميلة.
•
11cino 11
ابتسامة هوليوود
طبيب الأسنان الرائع للحصول على ابتسامة مثالية
August 21, 2025
أفضل طبيب أسنان، أعطوني الابتسامة المثالية، كان الموظفون لطيفين جدًا ومساعدين، أوصي بهم 1000 مرة، إذا كنت تبحث عن النتائج، هؤلاء هم الأروع!!!
•
Csaba Csordas
ابتسامة هوليوود
خدمة ونتائج ممتازة
August 16, 2025
جئت إلى DentSpa مع زوجتي وقررت الحصول على ابتسامة جديدة أيضًا. منذ لحظة وصولي، شعرت أنه يتم الاعتناء بي جيدًا – كانت التواصل واضحة، والخدمة في أعلى جودة، أفضل من أي شيء جربته في المملكة المتحدة أو هنغاريا. أنا سعيد حقًا بالنتائج وتأثرت باحترافية الفريق بأكمله.
•
liban mohamed
ابتسامة هوليوود •
التيجان السنية (الطربوش)
نتائج مذهلة لابتسامة هوليوود
August 12, 2025
لقد حصلت على ابتسامة هوليوود في دنتسپا، ولم أكن أكثر سعادة بالنتائج! حصلت على تيجان زيركون لابتسامة هوليوود، والتحول مذهل – مشرق، بشكل مثالي، ومريح منذ اليوم الأول. كان الفريق بأكمله محترفًا وودودًا للغاية. أوضحوا كل خطوة بشكل واضح، تأكدوا من أنني مرتاح خلال الإجراءات، وانتبهوا للتفاصيل التي تجعل الابتسامة تبدو طبيعية حقًا. عيادة دنتسپا نفسها حديثة ونظيفة ومجهزة بأحدث التقنيات. من الاستشارة الأولية إلى التركيب النهائي، كان كل شيء سلسًا ومنظمًا جيدًا. إذا كنت تفكر في العمل الأسنان في إسطنبول، يمكنني أن أوصي بدنتسپا بثقة – إنهم يقدمون حقًا جودة ورعاية. لم تبدو ابتسامتي أفضل من أي وقت مضى!
•

2.png)

















