تحوّلات في الابتسامة تتحدث عن نفسها
أكثر من 50,000 مريض دولي • حاصل على شهادتي TDB وISO
رعاية بجودة أوروبية في أكثر عيادات الأسنان راحةً في إسطنبول
احصل على المعلومات
3 استشارات خلال الساعة الماضية • 5 حجوزات اليوم
Your request has been received. Our team will contact you within 1 hour.
رعاية متميزة بجزء بسيط من أسعار بلدك
حاصلة على لقب أفضل عيادة أوروبية لعام 2024
استقبال من المطار، إقامة، وإرشاد داخل المدينة
راحة واسترخاء أثناء العلاج
تحوّلات في الابتسامة تتحدث عن نفسها
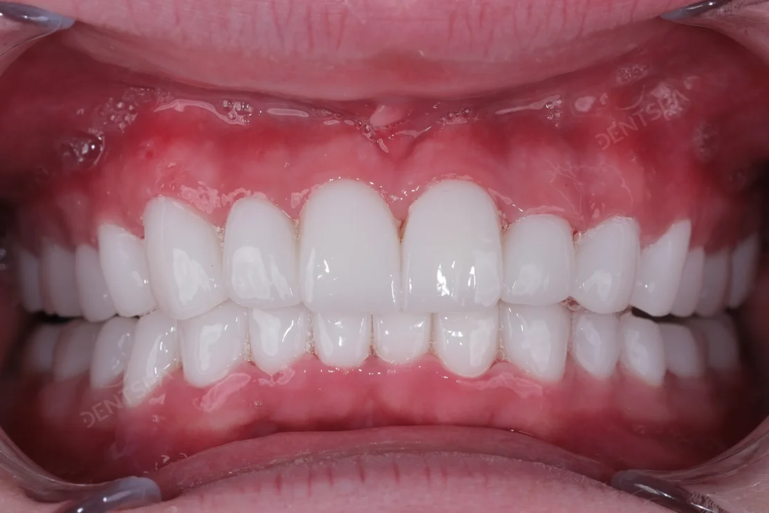
Smile Makeover with Porcelain Veneers
This patient wanted a brighter, more even smile. With custom-crafted veneers, we achieved a natural, radiant result
Smile Makeover with Porcelain Veneers
This patient wanted a brighter, more even smile. With custom-crafted veneers, we achieved a natural, radiant result
جميع الصور يتم مشاركتها بموافقة المرضى، ونحرص على احترام خصوصيتهم.
معرض ابتساماتنا
أكثر من 50,000+
ضيوف دوليون راضون
الذين وجدوا ابتسامتهم المثالية في أكثر عيادات الأسنان الموثوقة بأسلوب السبا في إسطنبول
Join 50,000+ of
Satisfied International Guests
who found their perfect smile in Istanbul’s most trusted dental spa
تعرّف على الفريق الذي يقف خلف ابتسامتك
يجمع أطباؤنا المتخصصون بين الخبرة واللمسة الإنسانية ليجعلوا كل زيارة مريحة بقدر ما هي فعّالة

بوركان بيركاي باش
أخصائية تركيبات سنية

سردار يلماز
جراحة الفم والوجه والفكين

مدينة جولفردييفا
أخصائية تركيبات سنية

شكراً بايجان
جراحة الفم والوجه والفكين

داملا أوزتورك
أخصائي أمراض اللثة

توجشي أكين
Prosthodontist
ماذا يقول ضيوفنا؟
موثوق به من ضيوف من جميع أنحاء العالم، يلتزم DentSpa بجعل رحلة ابتسامتك مريحة ومجزية قدر الإمكان<br>
تجربة رائعة مع DentSpa! نتائج مذهلة، والأسنان الجديدة بجودة عالية. فريق رائع وخدمة ممتازة، ومرافق جميلة.
تشيس سي.
إنجلترا
كنت معجبة جدًا بجودة العمل والاهتمام بأدق التفاصيل. أسناني الجديدة تبدو رائعة وتشعرني براحة مذهلة.
ماري و.
الولايات المتحدة الأمريكية
أتوجه بالشكر الجزيل إلى آسيا التي كانت في غاية الاهتمام بطلباتي، ورافقتني طوال تجربتي بكل عناية.
ناديا ك.
فرنسا
كانت لدي تجربة رائعة في DentSpa. كان الفريق ودودًا جدًا واحترافيًا، وكانت النتائج مذهلة.
ليندا م.
الولايات المتحدة الأمريكية
كانت لدي تجربة رائعة مع DentSpa. كان الفريق ودودًا للغاية واحترافيًا، وكانت النتائج مذهلة.
ماري جي.
الولايات المتحدة الأمريكية
لا يوجد ما يُشتكى منه، كل شيء كان مثاليًا! شكرًا جزيلًا لكل الفريق، وبالأخص لمستشارتي آسيا.
سيوار ب.
فرنسا
سياحة علاج الأسنان في إسطنبول مع DentSpa تجربة تستحق بالفعل. تم تعيين مستشار خاص، وتوفير مواصلات مجانية، والمساعدة في الحجز.
هول س.
إنجلترا
كنت منبهرة جدًا بجودة العمل والاهتمام بأدق التفاصيل. أسناني الجديدة تبدو رائعة وتشعرني براحة مذهلة.
جينيفر ج.
الولايات المتحدة الأمريكية
السلطات الحكومية والمنظمات الكبرى

جمعية طب الأسنان التركية

خدمات الصحة الدولية USHAŞ

وزارة الصحة – تركيا

جمعية وكالات السفر التركية

معتمد من ISO
وجدوا ابتسامتهم المثالية في عيادة الأسنان الأكثر ثقة في إسطنبول

معتمدون من قبل
دولي
شامل كليًا
شخصي
حصلت على جائزة
لعام 2024
Hollywood Smile
Custom-designed veneers for a flawless, radiant smile transformation.
Tooth Implant
Replace missing teeth with durable and natural-looking implants.
Dental Veneers
Thin shells to improve your teeth’s appearance and alignment.
Root Canal
Saves infected teeth by removing bacteria and restoring health.
Gum Alignment
Sculpting gums for a more balanced and symmetrical smile.
Teeth Whitening
Professional treatments to brighten and whiten discolored teeth.
من التحسينات التجميلية إلى طب الأسنان الوظيفي، نحن هنا لجعل ابتسامتك الأفضل.